
Articolo a cura di:
Italo Paolini
Medico di Medicina Generale
SIMG
VIDEO CONTENT
Le principali indicazioni alla terapia infiltrativa endoarticolare e le vie di accesso con e senza guida ecografica
INTRODUZIONE
Le problematiche connesse alle patologie del ginocchio e all’osteoartrosi sono un’evenienza frequente nel lavoro del Medico di Medicina Generale (MMG). Dolore, limitazione articolare, tumefazione dolente con versamento articolare sono i problemi clinici di più frequente riscontro e gli interventi terapeutici possibili, farmacologici e non farmacologici possono risultare non tollerati e inefficaci. La terapia infiltrativa endoarticolare (corticosteroidi, acido ialuronico nelle diverse formulazioni) può rappresentare un’alternativa efficace e tollerata, praticabile dal MMG con la corretta formazione. Inoltre il prelievo del liquido sinoviale (oltrechè di immediato giovamento per la riduzione dell’attività flogogena del liquido stesso) può essere utile a livello diagnostico per l’esame chimico-fisico, la valutazione di eventuale emartro e la coltura batteriologica.
Elementi di anatomia ecografica del ginocchio
La valutazione ecografica del ginocchio consente la visualizzazione di molte strutture ed è importante suddividere la valutazione nei diversi compartimenti:
• ANTERIORE (sopra e sottorotuleo)
• LATERALE
• MEDIALE
• POSTERIORE
La figura 1 (vedi sotto) riassume le strutture anatomiche visualizzabili nei diversi compartimenti.
In alcuni casi la tecnica infiltrativa è l’unica opzione possibile e offre una rapida soluzione del problema; in altri casi, caratterizzati da dolore cronico irreversibile, essa rappresenta una risorsa terapeutica permanente e fondamentale con l’organizzazione di un piano terapeutico in cui si preveda la ripetizione della procedura in base alla durata dell’effetto prodotto e alle caratteristiche del farmaco iniettato.
Per gli scopi di questo articolo, ovvero la terapia infiltrativa articolare è importante comprendere la situazione anatomica ed i relativi punti di repere delle borse sinoviali del ginocchio. Le borse articolari del ginocchio sono strutture di grande importanza funzionale, poiché servono a ridurre l’attrito tra le strutture tendinee, muscolari, e ossee durante il movimento dell’articolazione. Si tratta di sacche chiuse e piene di liquido sinoviale, posizionate strategicamente intorno al ginocchio. Ecco una panoramica delle principali borse del ginocchio:
▸ Borsa Sovrarotulea: è situata sopra la rotula, tra il tendine del quadricipite e il femore e facilita il movimento del tendine del quadricipite durante la flessione ed estensione del ginocchio.
▸ Borsa Prepatellare: superficialmente alla rotula, tra la pelle e la parte anteriore della rotula stessa e riduce l’attrito tra la pelle e la rotula, soprattutto durante attività che comportano l’inginocchiamento.
▸ Borsa Infrapatellare superficiale: collocata tra la pelle e il tendine rotuleo, subito sotto la rotula, protegge il tendine stesso dall’attrito con la pelle, specialmente durante la flessione ed estensione del ginocchio.
▸ Borsa Infrapatellare profonda: situata tra il legamento rotuleo e la tibia, più in profondità rispetto alla borsa superficiale, ammortizza il tendine patellare durante il movimento, riducendo l’attrito con la superficie ossea della tibia.
▸ Borsa del Gastrocnemio-Semimembranoso (Cisti di Baker): situata tra il tendine del muscolo gastrocnemio mediale e il tendine del muscolo semimembranoso, nella regione posteriore del ginocchio. Questa borsa può diventare una cisti (cisti di Baker) in caso di versamento articolare, estendendosi posteriormente e inferiormente, e può causare dolore e limitazione del movimento.
Le infiltrazione articolari
La terapia infiltrativa 1 è utilizzata, di solito, quando le opzioni farmacologiche non offrono un’efficacia analgesica adeguata o inducono effetti collaterali.
L’artrosi con le sue fasi di riacutizzazione, versamenti articolari, patologie articolari, patologie infiammatorie articolari, gonalgie post-traumatiche rappresentano le situazioni patologiche per le quali può essere utile il ricorso a questa strategia terapeutica.
Importante tenere presente che l’infiltrazione non va presa in considerazione solo dopo aver esaurito le strategie farmacologiche, perché le due strategie terapeutiche, generale e locale, possono perfettamente integrarsi e le infiltrazioni essere complementari ai farmaci, in particolare nel paziente con comorbidità che da subito controindicano l’utilizzo di FANS o oppiacei.
In alcuni casi la tecnica infiltrativa è l’unica opzione possibile e offre una rapida soluzione del problema; in altri casi, caratterizzati da dolore cronico irreversibile, essa rappresenta una risorsa terapeutica permanente e fondamentale con l’organizzazione di un piano terapeutico in cui si preveda la ripetizione della procedura in base alla durata dell’effetto prodotto e alle caratteristiche del farmaco iniettato.
Tecnica di esecuzione
La corretta scelta del sito di iniezione è fondamentale e le vie di accesso sono 1:
• INFRAPATELLARE LATERALE (con o senza ecoguida)
• ANTERIORE (mediale o laterale rispetto al tendine rotuleo)
L’iniezione infrapatellare mediale e sovrapatellare si sono rivelate più dolorose rispetto all’iniezione infrapatellare laterale. Nell’approccio sovrapatellare mediale, i tessuti molli sono più sottili e richiedono l’attraversamento del vasto mediale obliquo che termina più distalmente nella componente tendinea rispetto al vasto laterale.
▸ 1 INIEZIONE NON ECOGUIDATA > INFRAPATELLARE (femoro-rotulea) LATERALE 2
• Il Paziente è disteso sul lettino con la testa appoggiata e il ginocchio in leggera flessione. I punti di repere, anatomici, sono rappresentati dal polo superiore, laterale della rotula e il condilo femorale laterale (Fig. 1), L’iniezione (preferibilmente con ago 21 G) viene effettuata sul punto di minore resistenza tra i due punti di repere fino al punto medio dell’equatore rotuleo, con la direzione dell’ago parallela alla superficie del lettino inclinato verso la superficie articolare della rotula, esercitando una lieve pressione sul lato mediale rotuleo. In caso di dolore (legato alla punta dell’ago nella sinovia) cambiare di poco la direzione dell’ago.
▸ 2 INIEZIONE ECOGUIDATA > INFRAPATELLARE (femoro-rotulea) LATERALE
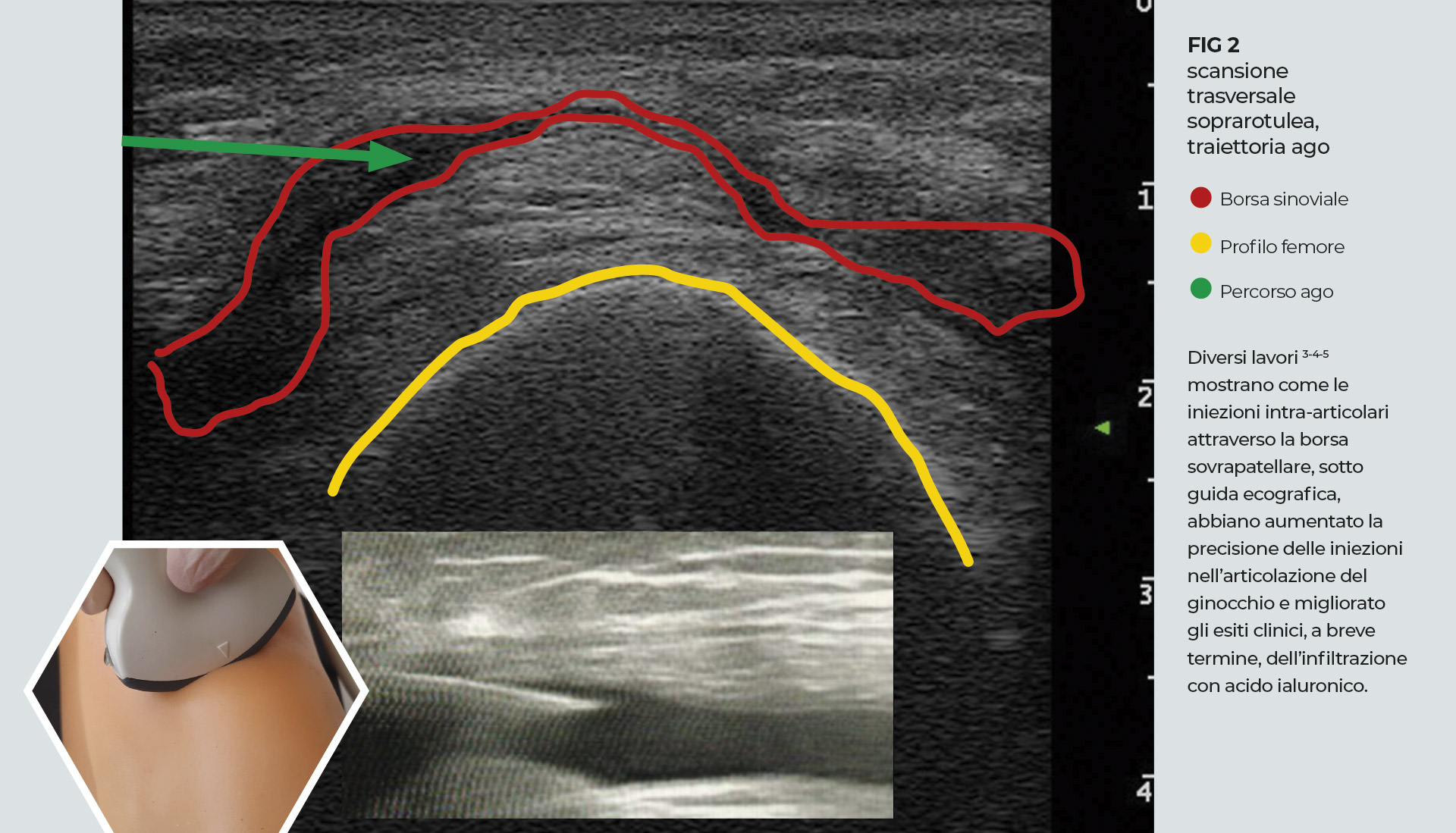
• Paziente in decubito supino, ginocchio flesso a 20-30° (cuscino sottopopliteo). Posizionare la sonda lineare in scansione longitudinale identificando, inferiormente, il polo superiore della rotula e il tendine del quadricipite con il suo aspetto stratificato, per i fasci tendinei provenienti da retto femorale, vasto laterale e vasto mediale. Al di sotto della parte distale del tendine si trova il recesso sinoviale sovrarotuleo, come uno spazio ipo-anecogeno (di dimensioni variabili in base alla quantità di liquido sinoviale).
Identificato il recesso sinoviale si ruota la sonda di 90° con una scansione trasversale del recesso, al di sopra della corticale del femore. Identificato il punto di iniezione laterale, sottorotuleo, parallelo all’asse maggiore della sonda, si pratica l’iniezione con ago 21/22 G, guidati dalla visualizzazione ecografica dello stesso e dal rigonfiamento della borsa conseguente all’introduzione del farmaco iniettato. Importante stabilizzare la sonda con le dita della mano che la manovra a contatto con la pelle, evitare una pressione eccessiva da parte della stessa ed eseguire piccoli movimenti.
▸ 3 INIEZIONE ANTERIORE (non ecoguidata)
• Questo approccio può essere preferibile, quando non si effettua l’infiltrazione laterale eco guidata, in caso di grave artrosi del compartimento femoro-rotuleo o soggetti con elevato indice di massa corporea.
• Il Paziente è disteso sul lettino con la testa appoggiata e il ginocchio flesso a 90° circa, I punti di repere anatomici sono: il tendine rotuleo, il margine inferiore del condilo femorale laterale e il margine superiore del piatto tibiale.
L’iniezione può essere effettuata lateralmente (preferibile) o medialmente ricercando il punto di minore resistenza tra il margine laterale (o mediale) del tendine rotuleo e il piatto tibiale. L’ago, che penetra interamente attraverso la cute non deve avere resistenza. Procede parallelo al piatto tibiale, inclinato verso la gola femorale, evitando il menisco laterale rasente il piatto tibiale. Tutto l’ago deve penetrare attraverso la cute e non si deve avvertire una resistenza.
CONCLUSIONI
La figura 4 riassume i diversi approcci infiltrativi endoarticolari, con e senza ecoguida, ed evidenzia un altro aspetto importante: la disinfezione e preparazione del materiale.
Sinteticamente: disinfezione della cute con garza sterile imbevuta di disinfettante per cute (iodo-povidone), attendere almeno 3 minuti, lavarsi le mani per un minuto con una soluzione adatta, asciugarle bene e indossare i guanti sterili. Le infiltrazioni articolari del ginocchio, con le rilevanti applicazioni terapeutiche e diagnostiche evidenziate, sono di grande utilità e possono essere eseguite, in medicina generale, con approccio rigoroso e con la necessaria formazione teorica e pratica.
NOTE BIBLIOGRAFICHE
1. J Funct Morphol Kinesiol. 2021 Mar; 6(1): 15. Intra-Articular Injections in Knee Osteoarthritis: A Review of Literature Gianluca Testa et al.
2. Am. J. Roentgenol. 2016, 207, 484–494. Fundamentals of Joint Injection. Rastogi, A.K. et Al.
3. J Clin Ultrasound. 2012 Jan;40(1):20-5. Accuracy of blind versus ultrasound-guided suprapatellar bursal injection Yong Bum Park et Al.
4. Int J Rheum Dis. 2018 Jan;21(1):134-139. A randomized blinded comparative study of clinical response to surface anatomy guided injection versus sonography guided injection of hyaloronic acid in patients with primary knee osteoarthritis. Kianmehr N. et Al.
5. Arthroscopy, Sports Medicine, and Rehabilitation, Vol 3, No 4 (August), 2021: pp e1177-e1187 Ultrasound-Guided Knee Injections Are More Accurate Than Blind Injections: A Systematic Review of Randomized Controlled Trials William H. Fang et Al.





